
Q.オフィスホワイトニングって?
A.歯科医院で歯を白くする方法です。
クリーニングで歯の"汚れを落とす"方法とは違い、薬液と光照射で、"着色物質を分解して落とす"方法です。
このため、より『歯、本来の白さ』を実感していただけると思います。
いままで、当院では「ホームホワイトニング」しか、おこなっていませんでした。
なぜなら、オフィスホワイトニングは、「強い痛み」が伴うからです。
ですが、今回導入いたしました方法は、新しい成分(光触媒)の配合で、弱い光で歯を白くすることができるようになり、施術時に歯ぐきをコート材(※下記②参照)で覆うことにより、痛みを大幅に減少させた施術法です。
みなさまに安心して受けていただける、自信を持ってご提供できるオフィスホワイトニングです。

内容・施術方法
①施術前の歯の表面処理
②ホワイトニング材の塗布・光照射 5分×3回
③施術後の歯の表面処理
![]() |
|||||||||
| 色を確認し、同時に比較写真を撮影します | |||||||||
![]() ![]() |
|||||||||
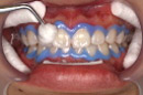
| 染め出しを行います (これは、染め出された歯についたタンパク質膜を、見やすくしてしっかりと落とすためです。) |
|||||||||
![]() |
|||||||||
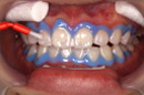
| タンパク質膜の除去を行います | |||||||||
![]() |
|||||||||
| タンパク質膜を取りおわりました | |||||||||
![]() |
|||||||||
| 保護材で歯ぐきを覆い、固めます | |||||||||
|
|||||||||
![]() |
|||||||||
| ホワイトニング材を除去します | |||||||||
![]() |
|||||||||
| 保護材を除去します | |||||||||
![]() |
|||||||||
| カルシウム配合ペーストで歯質強化を行います | |||||||||
![]() |
|||||||||
| 最後に比較の写真を撮影します | |||||||||
※施術方法は、変更になる場合があります。
※施術回数は、3~5回を目安にお考え下さい。
料金
1回おおよそ120分 10,000円(前歯・小さい奥歯 上下20本)
デュアルホワイトニング料金(セット料金)
ホームホワイトニング+オフィスホワイトニング(5回分)で8万4000円
その他・注意点
●歯石やステイン(茶渋などのクリーニングで落とせる汚れ)除去などを、あらかじめ行うと、白くなりやすくなります。
● まれに知覚過敏の症状が起こることがおります。
● 一時的に痛みが出ることがあります。
● 個人差があるため、1回で思ったほど白くならない場合があります。
● かぶせもの、つめものの色は白くならないため、再治療が必要になる場合があります。
● 妊娠中、授乳中の方は、お断りさせていただいております。
(女性の方には、お電話の際にご確認させていただいております。ご了承ください)
オフィスホワイトニングとホームホワイトニングの違い
| オフィスホワイトニング | |
| 期間 | 1回 ※さらに白くしたい場合は、1週間開ければ2回目以降を行うことができます |
| 料金(税込み) | 1回 10,000円 ※追加の場合も、料金同じ |
| 白さの持続例 | 1年くらい(個人差があります) |
| ホームホワイトニング | |
| 期間 | 2週間 ※さらに白くしたい場合は、薬液を購入することで続けて行うことができます |
| 料金(税込み) | 上下 45,000円 ※追加の料金はこちら |
| 白さの持続例 | 2年くらい(個人差があります) |